Διαγνωστικές εξετάσεις
Διαγνωστικές εξετάσεις
- Διαγνωστικές Εξετάσεις Αγγείων Άνω Άκρου
- Διαγνωστικές Εξετάσεις Αγγείων κάτω Άκρου
- Αξονική Αγγειογραφία (CTA)
- ΔΙΑΓΝΩΣΤΙΚΕΣ ΕΞΕΤΑΣΕΙΣ Αρτηριών
- Έγχρωμο Υπερηχογράφημα Αγγείων (Colored Ultrasound Duplex Scan)
- ΔΙΑΓΝΩΣΤΙΚΕΣ ΕΞΕΤΑΣΕΙΣ Καρωτίδων Αρτηριών
- ΔΙΑΓΝΩΣΤΙΚΕΣ ΕΞΕΤΑΣΕΙΣ Κοιλιακής Αορτής και σπλαχνικών αρτηριών
- Μαγνητική Αγγειογραφία (MRA)
- ΔΙΑΓΝΩΣΤΙΚΕΣ ΕΞΕΤΑΣΕΙΣ Φλεβών
- Ψηφιακή Αφαιρετική Αγγειογραφία (DSA)
- Doppler Αγγείων – Σφυροβραχιόνιος Αρτηριακός Δείκτης Πίεσης (ABPI)
Διαγνωστικές Εξετάσεις Αγγείων Άνω Άκρου

Οι διαγνωστικές εξετάσεις αγγείων άνω άκρου είναι σημαντικές για την αξιολόγηση της λειτουργίας και της κατάστασης των αγγείων που τροφοδοτούν τα άνω άκρα. Ορισμένες από τις κύριες διαγνωστικές εξετάσεις περιλαμβάνουν:
- Δοπλερογραφία Άνω Άκρου (Upper Extremity Doppler Ultrasound): Η δοπλερογραφία χρησιμοποιεί τις ήχο κύματα για να εξετάσει τη ροή του αίματος μέσα στα αγγεία. Αυτή η εξέταση μπορεί να βοηθήσει στην αξιολόγηση της παροχής αίματος και στον εντοπισμό ενδεχόμενων αγγειακών παθήσεων.
- Εικονολογική Εξέταση με Χρήση Ακτινοβολίας (Angiography): Η αγγειογραφία είναι μια εξέταση που προβάλλει τα αγγεία με χρήση
- ακτινοβολίας. Συνήθως, χρησιμοποιείται με ένα χρωματιστικό υγρό που παρέχει εικόνες υψηλής ανάλυσης του αγγειακού συστήματος.
- Εικονολογική Εξέταση με Χρήση Υπερήχων (Ultrasound Imaging): Οι υπερήχοι μπορούν να χρησιμοποιηθούν για να παράγουν εικόνες των αγγείων και να αξιολογήσουν τη ροή του αίματος. Είναι μια μη επεμβατική μέθοδος και ευαίσθητη για τον εντοπισμό αγγειακών προβλημάτων.
- Σφυγμοί (Pulse Examination): Η εξέταση των σφυγμών σε διάφορα σημεία των άνω άκρων είναι μια απλή, αλλά σημαντική, μέθοδος για τον έλεγχο της κυκλοφορίας του αίματος.
- Αναλύσεις Αιμάτωματος (Blood Tests): Ορισμένες ασθένειες, όπως η αρτηρίτιδα, μπορεί να απαιτούν αιματολογικές εξετάσεις για τη διάγνωση.
Ανάλογα με τα συμπτώματα και τις ενδείξεις, ο ιατρός μπορεί να επιλέξει την κατάλληλη εξέταση για να αξιολογήσει την κατάσταση των αγγείων των άνω άκρων.
Διαγνωστικές Εξετάσεις Αγγείων κάτω Άκρου

Οι διαγνωστικές εξετάσεις αγγείων κάτω άκρου είναι σημαντικές για την αξιολόγηση της κατάστασης και της λειτουργίας των αγγείων που εφοδιάζουν τα κάτω άκρα. Ορισμένες από τις συνηθισμένες διαγνωστικές εξετάσεις περιλαμβάνουν:
- Δοπλερογραφία Κάτω Άκρου (Lower Extremity Doppler Ultrasound): Η δοπλερογραφία χρησιμοποιεί ήχο κύματα για να μετρήσει τη ροή του αίματος μέσα στα αγγεία. Χρησιμοποιείται για τον εντοπισμό αρτηριακών ή φλεβικών προβλημάτων.
- Αγγειογραφία (Angiography): Η αγγειογραφία είναι μια εξέταση που χρησιμοποιεί ακτινοβολία για να δείξει την κατάσταση των αγγείων. Συνήθως, χρησιμοποιείται με ένα χρωματιστικό υγρό που προσφέρει λεπτομερείς εικόνες.
- Εικονολογικές Εξετάσεις με Χρήση Υπερήχων (Ultrasound Imaging): Οι υπερήχοι χρησιμοποιούνται για να παράγουν εικόνες των αγγείων και να αξιολογήσουν τη ροή του αίματος.
- Σφυγμοί (Pulse Examination): Η εξέταση των σφυγμών σε διάφορα σημεία των κάτω άκρων είναι απαραίτητη για τον έλεγχο της ανοχής του αίματος.
- Πιεστηριογραφία (Ankle-Brachial Index - ABI): Αυτή η μέθοδος χρησιμοποιείται για τον υπολογισμό του αναλογικού δείκτη ανάμεσα στην αρτηριακή πίεση στον αστράγαλο και την αρτηριακή πίεση στον βραχιόνιο. Χρησιμοποιείται για την αξιολόγηση της στενότητας των αρτηριών.
Ο ιατρός μπορεί να επιλέξει την κατάλληλη εξέταση ανάλογα με τα συμπτώματα και τις ενδείξεις του ασθενούς.
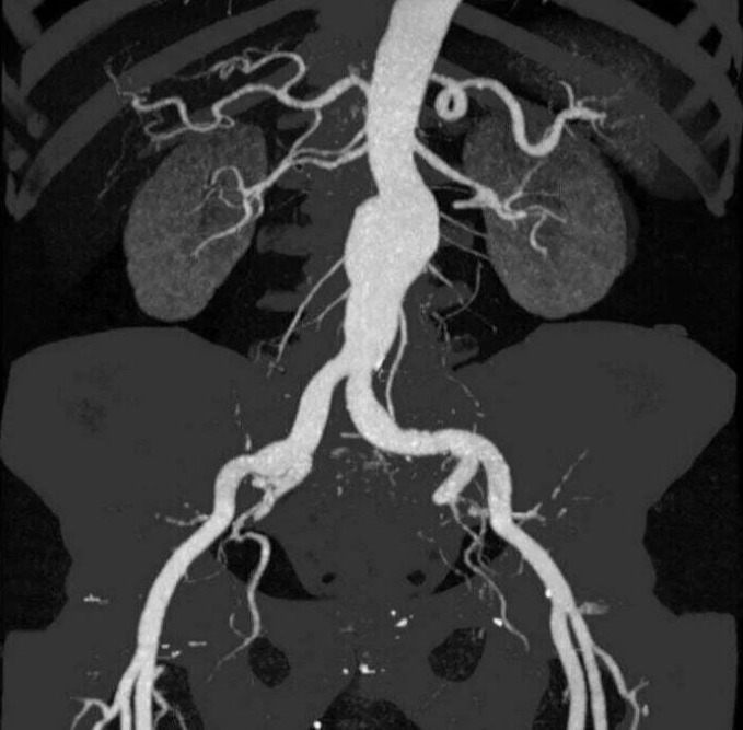
Αξονική Αγγειογραφία (CTA)

Η Αξονική Αγγειογραφία (CTA) είναι μια ιατρική εξέταση που χρησιμοποιεί τεχνολογία της υπολογιστικής τομογραφίας (CT) για να παράγει λεπτομερείς εικόνες των αγγείων. Η CTA είναι ένα αποτελεσματικό μέσο για την αξιολόγηση του αγγειακού συστήματος και χρησιμοποιείται συχνά για την εξέταση των αγγείων σε διάφορα μέρη του σώματος.
Η διαδικασία της CTA περιλαμβάνει τη χρήση ένος CT scanner και ενός υλικού αντίθεσης που εισέρχεται στον οργανισμό για να κάνει τα αγγεία πιο ορατά στις εικόνες. Ο ασθενής θα τοποθετηθεί στο κρεβάτι του scanner, και η συσκευή θα κινηθεί γύρω του για τη λήψη σειράς εικόνων.
Η CTA μπορεί να χρησιμοποιηθεί για την αξιολόγηση των αγγείων σε διάφορες περιοχές του σώματος, συμπεριλαμβανομένων:
- Καρδιακών Αγγείων (Coronary Arteries): Χρησιμοποιείται για τον εντοπισμό πιθανών στενών ή πλακών στις αρτηρίες που εφοδιάζουν την καρδιά.
- Κεφαλής και Τραχήλου (Head and Neck): Χρησιμοποιείται για την αξιολόγηση των αγγείων στο κεφάλι και τον λαιμό.
- Κοιλιακού Χώρου (Abdomen): Χρησιμοποιείται για τον έλεγχο των αγγείων στην περιοχή της κοιλιάς, συμπεριλαμβανομένων της κοιλιακής αορτής και των αγγείων των οργάνων της κοιλιάς.
- Άνω και Κάτω Άκρων: Χρησιμοποιείται για την αξιολόγηση των αγγείων στα άνω και κάτω άκρα.
Η CTA παρέχει λεπτομερείς εικόνες που μπορούν να βοηθήσουν τους ιατρούς να αξιολογήσουν την κατάσταση των αγγείων και να διαπιστώσουν πιθανά προβλήματα, όπως στένωση ή ανεύρυση των αγγείων.
ΔΙΑΓΝΩΣΤΙΚΕΣ ΕΞΕΤΑΣΕΙΣ Αρτηριών

Οι διαγνωστικές εξετάσεις των αρτηριών περιλαμβάνουν διάφορες μεθόδους που χρησιμοποιούνται για να αξιολογήσουν την κατάσταση και τη λειτουργία των αρτηριών. Ορισμένες από τις κύριες διαγνωστικές εξετάσεις περιλαμβάνουν:
- Αγγειογραφία (Angiography): Η αγγειογραφία χρησιμοποιεί ακτινοβολία για να δείξει την κατάσταση των αρτηριών. Συνήθως, χρησιμοποιεί ένα χρωματιστικό υγρό για να ενισχύσει την ορατότητα των αγγείων στις εικόνες.
- Δοπλερογραφία (Doppler Ultrasound): Η δοπλερογραφία χρησιμοποιεί τον ήχο για να αξιολογήσει τη ροή του αίματος μέσα στις αρτηρίες και να εντοπίσει ενδεχόμενες στενώσεις ή προβλήματα με τη ροή.
- Υπερήχοι Αρτηριών (Arterial Ultrasound): Είναι μια εξέταση που χρησιμοποιεί υπερήχους για την παραγωγή εικόνων των αρτηριών. Χρησιμοποιείται για τον έλεγχο του διαμετρήματος των αρτηριών, τον εντοπισμό αθηρωματικών πλακών και άλλων ανωμαλιών.
- Πίεση Αρτηριών (Blood Pressure Measurement): Η μέτρηση της αρτηριακής πίεσης σε διάφορα μέρη του σώματος μπορεί να παρέχει πληροφορίες για την αρτηριακή λειτουργία και τυχόν προβλήματα.
- Αναλύσεις Αιμάτωματος (Blood Tests): Οι αιματολογικές εξετάσεις μπορούν να παρέχουν πληροφορίες για τα επίπεδα χοληστερόλης και άλλων ουσιών που μπορεί να επηρεάσουν την υγεία των αρτηριών.
Αυτές οι εξετάσεις χρησιμοποιούνται συχνά για τον έλεγχο της αρτηριακής λειτουργίας, την ανίχνευση αρτηριακών παθήσεων και τον προσδιορισμό των αναγκαίων θεραπευτικών παρεμβάσεων.
Έγχρωμο Υπερηχογράφημα Αγγείων (Colored Ultrasound Duplex Scan)

Το Έγχρωμο Υπερηχογράφημα Αγγείων, επίσης γνωστό ως Colored Ultrasound Duplex Scan, είναι μια εξέταση που συνδυάζει δύο τεχνικές υπερήχων για τον έλεγχο των αγγείων: τη δοπλερογραφία και την αντιδραστική (duplex) υπερηχογραφία. Αυτή η εξέταση παρέχει λεπτομερείς εικόνες της ανατομίας των αγγείων και πληροφορίες σχετικά με τη ροή του αίματος μέσα σε αυτά.
Η δοπλερογραφία χρησιμοποιεί ήχο κύματα για να αξιολογήσει την ταχύτητα της ροής του αίματος σε ένα αγγείο. Αυτή η τεχνική είναι χρήσιμη για τον εντοπισμό στενώσεων ή αποφραγμάτων στις αρτηρίες και τις φλέβες. Τα χρώματα στην εικόνα αντιπροσωπεύουν την κατεύθυνση και την ταχύτητα της ροής.
Η αντιδραστική υπερηχογραφία (duplex ultrasound) παρέχει δομικές εικόνες των αγγείων, όπως οι εικόνες που λαμβάνονται με την κανονική υπερηχογραφία. Σε συνδυασμό με τη δοπλερογραφία, είναι δυνατό να διακριθούν οι αρτηρίες από τις φλέβες και να αξιολογηθεί η ροή του αίματος.
Αυτή η μέθοδος χρησιμοποιείται ευρέως για την αξιολόγηση της κατάστασης των αγγείων, συμπεριλαμβανομένων των αρτηριών και των φλεβών, και μπορεί να χρησιμοποιηθεί σε διάφορα μέρη του σώματος, όπως τα άνω και κάτω άκρα, ο λαιμός, ο κορμός, και άλλες περιοχές.
ΔΙΑΓΝΩΣΤΙΚΕΣ ΕΞΕΤΑΣΕΙΣ Καρωτίδων Αρτηριών

Οι διαγνωστικές εξετάσεις των καρωτίδων αρτηριών είναι σημαντικές για την αξιολόγηση της κατάστασης αυτών των αρτηριών που βρίσκονται στον λαιμό και εφοδιάζουν τον εγκέφαλο με αίμα. Οι συνήθεις διαγνωστικές εξετάσεις περιλαμβάνουν:
-
Δοπλερογραφία των Καρωτίδων (Carotid Doppler Ultrasound): Αυτή η εξέταση χρησιμοποιεί υπερήχους για τον εντοπισμό της ροής του αίματος στις καρωτίδες αρτηρίες και για την αξιολόγηση τυχόν αθηροσκλήρωσης ή στενώσεων. Το έγχρωμο Doppler επιτρέπει την οπτικοποίηση της κατεύθυνσης και της ταχύτητας της ροής του αίματος.
-
Αγγειογραφία των Καρωτίδων (Carotid Angiography): Η αγγειογραφία χρησιμοποιείται για τον εντοπισμό και την αξιολόγηση τυχόν αρτηριακών στενώσεων ή ανευρύσματος στις καρωτίδες αρτηρίες. Συνήθως, ενέχει τη χρήση ενός χρωματιστικού υγρού που επιτρέπει την ορατότητα των αγγείων στις ακτινογραφίες.
-
Μαγνητική Αξονική Τομογραφία (Magnetic Resonance Angiography - MRA): Η MRA χρησιμοποιείται για τη δημιουργία εικόνων των αγγείων χωρίς τη χρήση ακτινοβολίας. Είναι χρήσιμη για τον εντοπισμό στενώσεων, αθηροσκλήρωσης ή ανευρυσμάτων.
-
Εξέταση του Σφυγμού των Καρωτίδων (Carotid Pulse Examination): Ο ιατρός μπορεί να ελέγξει τον σφυγμό στις καρωτίδες για να αξιολογήσει τη ροή του αίματος.
Οι παραπάνω τεχνικές συνήθως χρησιμοποιούνται για την αξιολόγηση της υγείας των καρωτίδων αρτηριών και την πρόληψη του εγκεφαλικού επεισοδίου.
ΔΙΑΓΝΩΣΤΙΚΕΣ ΕΞΕΤΑΣΕΙΣ Κοιλιακής Αορτής και σπλαχνικών αρτηριών

Οι διαγνωστικές εξετάσεις για την αξιολόγηση της κοιλιακής αορτής και των σπλαχνικών αρτηριών μπορεί να περιλαμβάνουν τις εξής μεθόδους:
- Αγγειογραφία της Κοιλιακής Αορτής και των Σπλαχνικών Αρτηριών (Celiac Artery Angiography): Αυτή η εξέταση χρησιμοποιείται για να αξιολογήσει την κατάσταση της κοιλιακής αορτής και των αρτηριών που εξυπηρετούν τα σπλάχνα. Συνήθως, περιλαμβάνει τη χρήση χρωματιστικού υγρού για εμφανή οπτικοποίηση των αγγείων στις ακτινογραφίες.
- Σπιράλ Υπολογιστική Τομογραφία (CT Angiography - CTA): Η CTA είναι μια μέθοδος εικονογράφησης που χρησιμοποιεί την τεχνολογία της υπολογιστικής τομογραφίας για τη δημιουργία λεπτομερών εικόνων των αγγείων. Συνήθως, περιλαμβάνει και τη χρήση χρωματιστικού υγρού για καλύτερη οπτικοποίηση των αγγείων.
- Μαγνητική Αξονική Τομογραφία (Magnetic Resonance Angiography - MRA): Η MRA είναι μια μέθοδος που χρησιμοποιεί το μαγνητικό πεδίο για τη δημιουργία εικόνων των αγγείων. Συνήθως, δεν απαιτεί τη χρήση χρωματιστικού υγρού.
- Δοπλερογραφία των Σπλαχνικών Αρτηριών (Doppler Ultrasound of Splanchnic Arteries): Η δοπλερογραφία χρησιμοποιείται για τον έλεγχο της ροής του αίματος στις σπλαχνικές αρτηρίες και την ανίχνευση πιθανών προβλημάτων, όπως στενώσεις ή ανευρύσματα.
Ο ιατρός θα επιλέξει την κατάλληλη μέθοδο ανάλογα με τα συμπτώματα, την ιατρική ιστορία και τις ανάγκες του ασθενούς.
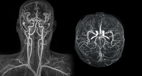
Μαγνητική Αγγειογραφία (MRA)

Η Μαγνητική Αγγειογραφία (MRA) είναι μια μη επεμβατική εξέταση που χρησιμοποιεί τη μαγνητική τεχνολογία και τους υπολογιστές για να δημιουργήσει λεπτομερείς εικόνες των αγγείων στο εσωτερικό του σώματος, συμπεριλαμβανομένων των αρτηριών και των φλεβών. Η MRA χρησιμοποιεί το μαγνητικό πεδίο και ραδιοκύματα για τη δημιουργία λεπτομερών εικόνων των αγγείων, χωρίς τη χρήση ακτινοβολίας.
Υπάρχουν διάφοροι τύποι MRA, και ορισμένοι από τους συνηθέστερα χρησιμοποιούμενους περιλαμβάνουν:
-
Time-of-Flight MRA (TOF-MRA): Αυτή η μέθοδος εκμεταλλεύεται τη διαφορά στη ροή του αίματος για να δημιουργήσει εικόνες των αγγείων. Είναι ευαίσθητη στη ροή του αίματος και συνήθως χρησιμοποιείται για την αξιολόγηση των αρτηριών.
-
Contrast-Enhanced MRA (CE-MRA): Σε αυτήν τη μέθοδο, ενέσεις με χρωστικές ουσίες που είναι ορατές στις εικόνες μαγνητικής αγγειογραφίας εισέρχονται στην κυκλοφορία του αίματος για να προσδώσουν αντίθεση στις εικόνες. Αυτή η μέθοδος παρέχει πιο λεπτομερείς εικόνες των αγγείων και είναι ευαίσθητη στη ροή του αίματος.
Η MRA χρησιμοποιείται συχνά για την αξιολόγηση των αγγείων σε διάφορα μέρη του σώματος, συμπεριλαμβανομένων των καρωτίδων, της κοιλιακής αορτής, των εγκεφαλικών αγγείων και άλλων περιοχών. Είναι χρήσιμη για την ανίχνευση στενώσεων, ανευρυσμάτων, ή άλλων ανωμαλιών στο σύστημα κυκλοφορίας του αίματος.
ΔΙΑΓΝΩΣΤΙΚΕΣ ΕΞΕΤΑΣΕΙΣ Φλεβών

- Δοπλερογραφία/Έγχρωμο Doppler Υπερηχογράφημα (Doppler Ultrasound): Αυτή η μέθοδος χρησιμοποιεί τους υπέρηχους για να αξιολογήσει τη ροή του αίματος στις φλέβες. Είναι συνηθισμένο να χρησιμοποιείται για τη διάγνωση κιρσών, φλεβίτιδας, φλεβεκτασιών, και άλλων φλεβικών παθήσεων.
- Φλεβογραφία: Η φλεβογραφία περιλαμβάνει τη χρήση ενός χρωματιστικού υγρού που είναι ορατό στις ακτινογραφίες. Χρησιμοποιείται για την εικονογράφηση των φλεβών και τη διάγνωση φλεβικών παθήσεων, όπως φλεβεκτασίες και φλεβίτιδα.
- Μαγνητική Αγγειογραφία (Magnetic Resonance Angiography - MRA): Η MRA χρησιμοποιεί τη μαγνητική τεχνολογία για να δημιουργήσει λεπτομερείς εικόνες των αγγείων, συμπεριλαμβανομένων των φλεβών. Δεν απαιτεί χρήση ακτινοβολίας.
- Σπιράλ Υπολογιστική Τομογραφία (CT Venography): Η CT venography χρησιμοποιεί την τεχνολογία της υπολογιστικής τομογραφίας για να εικονογραφήσει τις φλέβες.
Οι επιλογές διαγνωστικών εξετάσεων εξαρτώνται από τα συμπτώματα του ασθενούς, την κλινική ιστορία και τις υποψίες για συγκεκριμένες φλεβικές παθήσεις.
Ψηφιακή Αφαιρετική Αγγειογραφία (DSA)

Η Ψηφιακή Αφαιρετική Αγγειογραφία (Digital Subtraction Angiography - DSA) είναι μια διαγνωστική τεχνική που χρησιμοποιείται για την εικονογράφηση των αγγείων με υψηλή ανάλυση. Είναι μια εξέταση που παρέχει λεπτομερείς εικόνες των αγγείων και χρησιμοποιείται για την αξιολόγηση της ροής του αίματος και των αγγειακών ανωμαλιών.
Η διαδικασία της DSA περιλαμβάνει τα εξής βήματα:
- Εισαγωγή Υλικού Kontrast: Ένας λεπτός καθετήρας εισάγεται μέσα στο αγγείο που θα εξεταστεί. Στη συνέχεια, ενέσεις με χρωστικές ουσίες (kontrast) εισάγονται μέσω του καθετήρα. Αυτές οι ουσίες είναι ορατές στις ακτινογραφίες.
- Λήψη Σειράς Εικόνων: Κατά τη διάρκεια της εισαγωγής των χρωστικών ουσιών, λαμβάνονται σειρές ραγδαίων ακτινογραφιών με το χρονικό υπολογισμό της αφαιρετικής διαδικασίας.
- Αφαίρεση Βάσης (Subtraction): Οι εικόνες πριν την εισαγωγή του χρωστικού υλικού αφαιρούνται από τις εικόνες που λαμβάνονται μετά την εισαγωγή. Αυτή η διαδικασία αφαίρεσης της "βάσης" δημιουργεί εικόνες που επιδεικνύουν αποκλειστικά τον όγκο των αγγείων που γεμίζουν με τη χρωστική ουσία.
Η DSA είναι εξειδικευμένη και συνήθως χρησιμοποιείται για τη διάγνωση πολλών αγγειακών παθήσεων, όπως ανευρύσματα, στενώσεις, και εγκεφαλικά αγγειακά επεισόδια. Επιπλέον, μπορεί να χρησιμοποιηθεί και για θεραπευτικούς σκοπούς, όπως η ενδαγγειακή εισαγωγή χρωστικών υλικών ή η ενδαγγειακή θεραπεία ανευρυσμάτων.
Doppler Αγγείων – Σφυροβραχιόνιος Αρτηριακός Δείκτης Πίεσης (ABPI)

Ο Δείκτης Πίεσης του Σφυροβραχιόνιου (Ankle-Brachial Pressure Index - ABPI) είναι ένα κλινικό μέτρο που χρησιμοποιεί τη μέθοδο του Doppler για να αξιολογήσει τον αρτηριακό παλμό και την πίεση του αίματος στις κάτω άκρες συγκριτικά με την πίεση του αίματος στον μπράχιο. Ο ABPI είναι χρήσιμος για την αξιολόγηση της περιφερικής αρτηριακής ανεπάρκειας.
Η διαδικασία περιλαμβάνει τα εξής βήματα:
- Μέτρηση Πίεσης Σφυροβραχιόνιου (Brachial Pressure Measurement): Αρχικά, μετράται η πίεση του αίματος στον μπράχιο χρησιμοποιώντας ένα σφυγμομανόμετρο.
- Μέτρηση Πίεσης στον Πηγάδιο (Ankle Pressure Measurement): Στη συνέχεια, με χρήση ενός Doppler ultrasound, ο ακροατήρας τοποθετείται στο πηγάδι (συνήθως στον μηριαίο ή τον αχίλλειο τένοντα), και μετράται η πίεση του αίματος.
- Υπολογισμός του ABPI: Ο ABPI υπολογίζεται διαιρώντας την πίεση στον πηγάδι με την πίεση στον μπράχιο. Η φυσιολογική τιμή του ABPI είναι περίπου 1.0, όμως, σε περιπτώσεις περιφερικής αρτηριακής νόσου, μπορεί να είναι χαμηλότερη.
Ο χαμηλός ABPI υποδεικνύει πιθανή περιφερική αρτηριακή νόσο, η οποία μπορεί να οφείλεται σε στενώσεις ή αποκλεισμούς στις αρτηρίες των κάτω άκρων. Αυτή η μέθοδος συχνά χρησιμοποιείται στην κλινική πράξη για την αξιολόγηση της αρτηριακής λειτουργίας και τη διάγνωση περιφερικής αρτηριακής νόσου.