Αρχική
Πρώτος Αγγειοχειρουργός
αγγειοχειρουργός




Οι διαγνωστικές εξετάσεις των αρτηριών περιλαμβάνουν διάφορες μεθόδους που χρησιμοποιούνται για να αξιολογήσουν την κατάσταση και τη λειτουργία των αρτηριών.
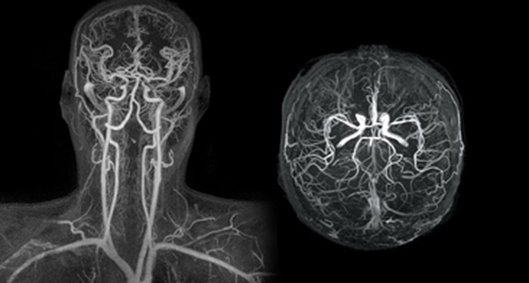
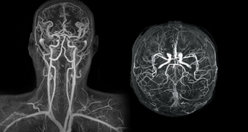
Η Μαγνητική Αγγειογραφία (MRA) είναι μια μη επεμβατική εξέταση που χρησιμοποιεί τη μαγνητική τεχνολογία και τους υπολογιστές για να δημιουργήσει λεπτομερείς εικόνες των αγγείων στο εσωτερικό του σώματος, συμπεριλαμβανομένων των αρτηριών και των φλεβών.
Ο ABPI είναι χρήσιμος για την αξιολόγηση της περιφερικής αρτηριακής ανεπάρκειας.
Η μικροσκληροθεραπεία είναι μια θεραπευτική διαδικασία που χρησιμοποιείται για τη θεραπεία κιρσών και άλλων αγγειακών διαταραχών.
Ένα σύγχρονο ιατρείο

Ένα σύγχρονο και τεχνολογικό ιατρείο αγγειοχειρουργού θα ενσωματίζει πολλές σύγχρονες τεχνολογίες και πρακτικές προκειμένου να παρέχει υψηλής ποιότητας φροντίδα για προβλήματα που σχετίζονται με τον αγγειακό σύστημα. Ορισμένα χαρακτηριστικά που μπορεί να έχει ένα τέτοιο ιατρείο περιλαμβάνουν:
- Διαγνωστικά Τεστ Κυκλοφορίας: Χρήση σύγχρονων τεχνολογιών, όπως Doppler ultrasound και άλλες απεικονιστικές μεθόδους, για την αξιολόγηση της κυκλοφορίας του αίματος σε αρτηρίες και φλέβες.
- Ειδικευμένος Εξοπλισμός για Χειρουργικές Επεμβάσεις: Σύγχρονος εξοπλισμός για επεμβάσεις αγγειακού συστήματος, συμπεριλαμβανομένων των εγχειρητικών εργαλείων και των επαναστατικών τεχνικών.
- Εφαρμογές Τηλεϊατρικής: Δυνατότητα παρακολούθησης και συμβουλευτικής για αγγειακά θέματα μέσω τηλεϊατρικής.
- 3D Εκτύπωση: Χρήση της τεχνολογίας 3D εκτύπωσης για τη δημιουργία προσαρμοσμένων αγγειακών ενθυμιάτων ή μοντέλων που μπορούν να χρησιμοποιηθούν για την εκπαίδευση και τον σχεδιασμό επεμβάσεων.
- Συστήματα Ενδοαγγειακής Εικονογράφησης: Χρήση τεχνολογιών όπως η αγγειογραφία για την ακριβή αξιολόγηση των αγγείων και των προβλημάτων τους.
- Διαδικτυακή Πλατφόρμα Συνεννόησης: Δυνατότητα επικοινωνίας με τους ασθενείς μέσω ηλεκτρονικών μέσων για την παρακολούθηση της εξέλιξης της θεραπείας και την παροχή συμβουλών.
- Συνεργασία με Άλλους Ειδικούς: Δυνατότητα ενδοσυνεργασίας με άλλους ειδικούς, όπως χειρουργούς, καρδιολόγους και ακτινολόγους, για ολοκληρωμένη περίθαλψη των ασθενών.
Αυτά τα χαρακτηριστικά συμβάλλουν στη δημιουργία ενός ιατρείου αγγειοχειρουργού που προσφέρει σύγχρονη, ασφαλή και αποτελεσματική φροντίδα για ασθενείς με προβλήματα αγγείων.

